Million Dollar Smile
Elevate Your Smile with Million Dollar Smile's Premier Cosmetics and Dentistry Solutions
Smile Brighter, LA! Top-Quality Service at Your Fingertips with Our Friendly Team, Stress-Free Experience and Judgment-Free Experts.
We have a solution for every smile!
Transform Your Life with Full Arch Rehabilitation!
Smiles change, and lives change with Full Arch Rehabilitation! From no teeth to this glorious, confident smile, this is a truly amazing transformation for our patient. We have created a beautiful, completely functional smile with the fixed implant prosthesis All-on-X. Cheers to fresh starts and a bright future ahead!



Your Path To a Brighter Smile:
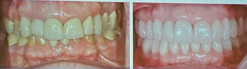
Our Patients Journey With Vaneers
Having a radiant smile that lights up the room is something you have in mind?
Veneers can turn that wish into reality! There's nothing more gratifing than looking in the mirror and seeing perfectly aligned, bright, and natural-looking teeth every day.
Say goodbye to stains, chips, and uneven teeth. Radiate confidence and feel at your absolute best! Here's a stunning dental transformation showcasing veneers’ impact on a clients smile that could be yours.
Discover Your Brightest Smile with Million Dollar Smile's Teeth Whitening Service.
Dreaming of a whiter, more radiant smile? Dr. Aldaya's expert teeth whitening offers fast, safe, and stunning results. Trusted by patients for his unique care and cutting-edge techniques, Dr. Aldaya transforms smiles with personalized treatments that best suit you.

Benefits of Your Consultation with Million Dollar Smile:
Why Wait? Many delay dental care due to fear, anxiety, or uncertainty about the process.
NO MORE OF THAT!
Dr. Aldaya understands your concerns and has designed consultations to put your mind at ease.
Here’s how:
Friendly, Judgment-Free Atmosphere:
Dr. Aldaya and his team provide a warm, welcoming environment where you’ll feel comfortable from the moment you walk in. No judgment, just compassionate care.
Anxiety-Free Experience:
Nervous about dental treatments? Dr. Aldaya uses meditation techniques to help you relax, creating a calm and soothing experience tailored to your needs.
Personalized Care:
During the consultation, we listen to your concerns, discusses your goals, and customizes a plan that suits you. No unnecessary treatments – just honest, straightforward advice.
Cutting-Edge Techniques:
Experience the latest in technology, ensuring safe, effective, and lasting results. Dr. Aldaya is known for staying at the forefront of dental advancements to give you the best care possible.
Trustworthy and Caring:
Patients love Million Dollar Smile for our professionalism, empathy, and genuine care. We are not just focused on your teeth; we are committed to enhancing your overall well-being and confidence.
Take the First Step Towards Your Brighter Smile! Book your consultation and experience dental care that’s as gentle, positive, and transformative as it is effective.
FREE, FREE,FREE!
Something that will make you smile – FREE Consultations and Dental Services in LA!
*Restrictions to every service may apply
Free implant consults
Free Smile Assessment Consults
Free Cleanings
Free Exams
Quality you deserve, a smile you deserve
Don’t miss this opportunity for expert dental care.
Book your free smile assessment consult today and experience the difference!
Our Smile-Transforming Services
We address your dental needs ensuring you leave with confidence and the smile you deserve.
Check ups
Regular check-ups are key to maintaining oral health and catching problems early. Million Dollar Smile's team provides thorough cleanings to prevent cavities and gum disease, keeping your smile healthy.
6 Month Routine Cleanings
Deep Cleanings
4 Month Periodontal Maintenance
Book an Appointment
Emergencies
Dental emergencies can't wait. We offer prompt, effective care for toothaches, broken teeth, and more. Trust in our flexible hours and same-day appointments to provide the relief you need.
Same-Day Appointments
Preventative Checks
Flexible Hours
Book an Emergency Appointment
Cosmetic Dentistry
Boost your confidence with a stunning smile transformation. Here at Million Dollar Smile we specialize in personalized cosmetic treatments, including veneers and teeth whitening, to give you the smile you deserve.
Veneers
In-Office Teeth Whitening
Custom Whitening Trays
Book Your Cosmetic Consultation
Dental Implants
Restore your smile with long-lasting dental implants. Dr. Aldaya uses advanced techniques for implant placement and restoration, providing a functional, beautiful smile you can trust.
Over-Dentures (Snap-On Dentures)
Bone Grafts
All on Four (Fixed Hybrid Denture)
Schedule Your Implant
Consultation
Orthodontics
Straighten your smile comfortably with our range of orthodontic services. From free consultations to clear aligners, we create a treatment plan tailored to your needs.
Free Consultations
Clear Aligners
Night Guards
Book an Orthodontic Appointment
Children’s Dentistry
We create a warm, friendly atmosphere for children’s dental care. We focus on building healthy habits early to ensure a lifetime of confident smiles.
Routine Cleanings
Fillings
Preventative Care
Book Your Child’s Appointment
Ready to transform your smile?
Don't miss out on the quality treatment you deserve by calling us today and take the first step towards a healthier, more confident you. Our friendly team at Million Dollar Smile is here to answer all your questions and guide you on your journey to the perfect smile.
What to expect?
During your free consultation, you'll receive a complete smile assessment, a tailored treatment plan, and answers to the best approach in a friendly environment.
Now Open Burbank!
1319 N San Fernando Blvd, Burbank, CA 91504
Results shown on this website are based on individual experiences and may not reflect typical outcomes for every patient. Dental health and treatment outcomes can vary depending on several factors, including patient health, adherence to care recommendations, and unique dental conditions. Testimonials and case studies featured here are examples and do not guarantee specific results. This content is for informational purposes only and should not be considered professional medical advice. Please consult with a licensed dentist for a comprehensive assessment and personalized treatment plan.
*Restrictions may apply
© Untitled. All rights reserved. Pretium montes adipiscing orci cursus eu primis aliquet et massa interdum est dolor.

